
Key Takeaways
- Dental bonding and veneers both enhance smile aesthetics but differ in materials, procedures, and longevity.
- Bonding is quicker and more cost-effective for minor corrections, while veneers offer a longer-lasting, highly polished result.
- Both treatments reshape, whiten, and restore tooth symmetry in different ways.
- Expert consultation helps determine the best approach for each patient’s goals and oral condition.
What are the main differences between dental bonding and veneers?
Imagine standing before a mirror, noticing a chipped tooth or discolouration that whitening can’t fix. For many Canadians, two cosmetic dentistry options immediately come to mind: dental bonding and veneers. Although they serve similar goals — restoring a beautiful smile — their materials, process, and longevity differ in fundamental ways.
Procedure overview
Dental bonding is a minimally invasive technique. The dentist applies a tooth-coloured composite resin directly onto the enamel, sculpts it to the desired shape, and hardens it using a curing light. This treatment can usually be completed in one appointment, making it a convenient choice for patients seeking immediate results.
In contrast, veneers require a more detailed, multi-step process. They involve creating custom-made porcelain or ceramic shells that are bonded to the front surface of the teeth. Veneers typically require two to three visits — one for consultation and tooth preparation, another for impression-taking, and a final visit for permanent placement.
Materials and durability
The type of material plays a central role in both appearance and longevity:
| Feature | Dental Bonding | Veneers |
|---|---|---|
| Material | Composite resin | Porcelain or ceramic |
| Durability | 4–8 years | 10–20 years |
| Resistance to staining | Moderate | Excellent |
| Reversibility | Fully reversible | Irreversible (some enamel removal required) |
| Treatment time | 1 visit | 2–3 visits |
| Cost range (CAD) | $200–$600 per tooth | $900–$2,500 per tooth |
Composite resin is softer and more porous, meaning it can stain over time from coffee, tea, or tobacco. Porcelain veneers, however, mimic natural enamel’s translucency and resist staining, keeping their brightness for many years.
Treatment goals and permanence
Bonding is ideal for minor repairs — such as small chips, gaps, or uneven edges — while veneers are recommended for complete smile transformations. The difference in permanence is also significant: veneers last much longer but require a slight amount of enamel removal, making the process irreversible.
Dr. Amir Guorgui, BSC, DMD, MACSD, explains, “Bonding is excellent for quick cosmetic fixes or younger patients who might need a reversible option. Veneers, on the other hand, offer a more refined, durable finish for those seeking a lasting change.”
In short, bonding is quick and affordable for touch-ups, and veneers are the long-term investment for a flawless smile.

How do teeth bonding and veneers improve your smile differently?
Every smile tells a story — and the choice between bonding and veneers determines how that story is told. While both treatments enhance shape, colour, and symmetry, the extent and style of improvement differ dramatically.
Aesthetic outcomes
Dental bonding offers subtle, conservative improvements. It works well for:
- Minor chips or cracks
- Small gaps between teeth
- Discolouration that whitening cannot remove
- Slight reshaping to improve alignment
Because the composite material is moulded directly on the tooth, bonding can achieve near-instant results. However, its texture and sheen may not perfectly replicate natural enamel under certain lighting.
Veneers, conversely, allow for a total smile redesign. Since they are custom-crafted in a lab, dentists can precisely tailor shape, proportion, and colour. Porcelain’s reflective surface gives the teeth a lifelike translucency, similar to natural enamel.
Smile symmetry and whitening coverage
Bonding can correct isolated imperfections but might struggle with widespread discolouration or asymmetry. Veneers provide full coverage, making all front teeth uniformly white and symmetrical.
| Aesthetic Factor | Bonding | Veneers |
|---|---|---|
| Whitening coverage | Partial (selected teeth) | Full coverage |
| Symmetry correction | Minor improvements | Complete smile alignment |
| Natural enamel mimicry | Good | Excellent |
| Custom shading | Chairside selection | Lab-fabricated precision |
Is composite bonding a good alternative to veneers?
When it comes to balancing cost, convenience, and aesthetics, composite bonding can be an excellent alternative for many patients. But it depends on the case.
When bonding is a good choice
Composite bonding suits individuals who:
- Want an affordable and quick cosmetic solution
- Have minimal enamel damage
- Prefer a reversible procedure
- Need subtle touch-ups rather than full smile reconstruction
Bonding can also serve as an interim solution before investing in veneers or crowns later on.
Benefits and limitations
The advantages are clear: bonding requires no enamel removal, causes minimal discomfort, and can be repaired easily if chipped. The downside? It is less durable and more prone to staining than porcelain veneers.
| Consideration | Composite Bonding | Veneers |
|---|---|---|
| Longevity | 4–8 years | 10–20 years |
| Repairability | Easy | Difficult (requires replacement) |
| Resistance to wear | Moderate | Excellent |
| Surface texture | Slightly porous | Smooth, glass-like |
| Reversibility | Yes | No |
Both dental bonding and veneers have their place in cosmetic dentistry. The best option depends on individual needs, expectations, and oral health. For subtle fixes, bonding is cost-effective and reversible. For long-lasting brilliance, veneers offer unmatched aesthetics and durability.
Interested in learning more? Visit All On Four Dental Implants to explore how our team, including Dr. Amir Guorgui and Dr. Rob Eisen, can help design your perfect smile.
What’s the typical cost difference between dental bonding and veneers?
When patients weigh cosmetic dental options, one of the most common questions is about cost. While both treatments can dramatically improve a smile’s appearance, their price ranges vary depending on materials, complexity, and the dentist’s expertise.
Cost breakdown per tooth
The price difference between dental bonding and veneers is significant due to the materials used and the level of customization.
| Treatment Type | Average Cost (CAD per tooth) | Material Used | Appointment Duration |
|---|---|---|---|
| Dental Bonding | $200–$600 | Composite resin | 30–60 minutes |
| Porcelain Veneers | $900–$2,500 | Porcelain or ceramic | 2–3 appointments |
Bonding is performed directly in the dental chair, reducing the need for laboratory fees. Veneers, however, involve lab fabrication, which adds to the overall cost.
Factors influencing price
Costs vary depending on:
- The number of teeth being treated
- The extent of reshaping or damage
- The type of veneer (porcelain, zirconia, or composite)
- The dentist’s experience and location
- Any additional treatments, like whitening or gum contouring
Insurance and financing
Most dental insurance plans in Canada consider bonding and veneers cosmetic procedures, so they are typically notcovered. However, if bonding is performed for restorative reasons — such as repairing a chipped or fractured tooth — partial coverage may apply.
Many clinics, including All On Four Dental Implants, offer flexible financing plans through third-party providers, allowing patients to spread payments over several months or years.
According to the Canadian Dental Association (CDA), cosmetic dentistry costs vary regionally, but financing and flexible payment options have made advanced procedures more accessible to Canadians (CDA Source).
Veneers cost more upfront but often save patients money in the long term due to their durability and reduced maintenance needs.
How long do bonding and veneers usually last?
Durability is one of the most crucial factors when deciding between bonding and veneers. While both treatments can produce stunning results, their lifespan and maintenance requirements differ.
Average lifespan
| Treatment | Expected Lifespan | Maintenance Frequency |
|---|---|---|
| Dental Bonding | 4–8 years | Touch-ups every few years |
| Porcelain Veneers | 10–20 years | Rarely needs repair |
Bonding materials are more prone to chipping and staining, particularly in patients who consume coffee or red wine or smoke. Veneers, made from dense porcelain, resist staining and wear, maintaining their brightness for over a decade with proper care.
Factors affecting longevity
- Oral hygiene: Regular brushing, flossing, and professional cleanings are essential.
- Habits: Nail biting or using teeth as tools can shorten lifespan.
- Material quality: Porcelain outlasts composite resin.
- Dental maintenance: Routine check-ups help catch small issues early.

Are there risks or downsides to veneers or bonding?
Like all dental treatments, both veneers and bonding come with potential downsides. Understanding these helps patients make informed choices.
Common risks
| Concern | Dental Bonding | Veneers |
|---|---|---|
| Tooth sensitivity | Minimal, temporary | Possible after enamel removal |
| Damage | Resin can chip or wear | Veneers may crack under pressure |
| Colour mismatch | Possible if the resin isn’t blended precisely | Rare, due to lab shade matching |
| Staining over time | Common, especially with dark beverages | Rare (porcelain resists stains) |
Tooth sensitivity and enamel loss
Bonding typically requires no enamel removal, making it reversible. Veneers, however, involve removing a thin enamel layer (about 0.5 mm), which can cause temporary sensitivity to temperature changes.
Durability and maintenance risks
Resin bonding may chip more easily when exposed to high pressure (such as chewing ice or biting hard foods). Veneers are tougher but can still fracture if impacted. Regular dental check-ups help detect early signs of wear.
Who is a better candidate for bonding vs veneers?
Choosing between bonding and veneers depends on a patient’s oral health, aesthetic goals, and budget. Both treatments can enhance smiles, but they serve different needs and expectations.
Suitability based on dental health
Dental bonding is ideal for patients with generally healthy teeth who only require minor cosmetic corrections. Common candidates include individuals with:
- Small chips or cracks
- Gaps between teeth
- Mild discolouration
- Slightly uneven tooth edges
Because bonding requires minimal enamel alteration, it’s also suitable for younger patients or those not ready for a permanent solution.
Veneers, however, are better for patients with:
- Deep stains or intrinsic discolouration
- Noticeable wear or erosion
- Multiple cosmetic imperfections across several teeth
- A desire for long-term, uniform results
Patients must have strong underlying tooth structure and good gum health for veneers, as enamel removal is permanent.
Budget and aesthetic considerations
Bonding is a cost-effective option, ideal for single-tooth repairs or short-term aesthetic upgrades. Veneers, though more expensive, offer superior durability, lifelike translucency, and resistance to staining.
Dr. Rob Eisen, DDS, adds: “We evaluate each patient’s enamel health and lifestyle habits. Someone who grinds their teeth might not be a veneer candidate without first addressing that issue.”
In summary, bonding suits those who need minor touch-ups or temporary improvements, while veneers are best for long-term cosmetic transformations with a strong dental foundation.

Which procedure takes longer, and what is the recovery like?
The timeline for bonding and veneers differs substantially, both in preparation and recovery. Understanding the process helps set realistic expectations.
Step-by-step: dental bonding
- Consultation and shade matching – The dentist selects a resin shade matching natural enamel.
- Surface preparation – The tooth is lightly etched to aid material bonding.
- Resin application – The composite is moulded, sculpted, and hardened with a curing light.
- Polishing and finishing – The surface is smoothed for a natural sheen.
Time required: About 30–60 minutes per tooth, usually completed in a single appointment.
Recovery: Minimal. Patients can eat and drink immediately, though mild sensitivity may occur for 24 hours.
Step-by-step: veneers
- Consultation and planning – X-rays, digital scans, and smile design.
- Tooth preparation – A thin enamel layer (0.3–0.5 mm) is removed.
- Impressions and temporary veneers – Used while custom veneers are fabricated in a lab.
- Final placement – Veneers are bonded permanently after about 2–3 weeks.
Time required: Typically 2–3 visits over 2–4 weeks.
Recovery: Mild sensitivity for a few days after placement; temporary veneers protect teeth during the interim.
Treatment timeline summary
| Procedure | Total Duration | Appointments | Recovery Period |
|---|---|---|---|
| Bonding | 1 day | 1 | None to minimal |
| Veneers | 2–4 weeks | 2–3 | Mild, short-term sensitivity |
Key takeaway: Bonding offers speed and convenience, veneers require patience for a longer-lasting, polished finish.
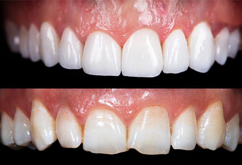
How do results from bonding vs veneers compare after 1 year?
After a year, most patients notice clear distinctions in how bonding and veneers age in terms of appearance, maintenance, and satisfaction.
One-year aesthetic comparison
| Aspect | Dental Bonding | Veneers |
|---|---|---|
| Colour stability | May show slight staining | Retains brightness |
| Surface texture | Can dull with wear | Remains glossy and smooth |
| Durability | May need touch-ups | No change in structure |
| Patient satisfaction | Moderate to high | Very high |
Bonding tends to lose some shine and can absorb pigments from dark beverages, whereas veneers remain stable in colour and texture.
Do bonding and veneers affect your natural teeth differently?
Many patients wonder how these cosmetic treatments interact with their natural teeth. The main difference lies in how much enamel is altered, whether the process is reversible, and the long-term effects on dental health.
Tooth preparation and enamel removal
Dental bonding requires almost no enamel removal. The surface is lightly etched to help the composite resin adhere securely, but the underlying tooth remains virtually untouched. This makes bonding a non-invasive and reversible procedure.
Veneers, in contrast, require a small but permanent reduction of enamel — typically 0.3 to 0.5 mm — to ensure the porcelain shells fit seamlessly and look natural. This step is crucial for achieving a uniform smile, but it means the process cannot be reversed once started.
| Feature | Dental Bonding | Veneers |
|---|---|---|
| Enamel removal | Minimal (surface etching only) | Moderate (0.3–0.5 mm) |
| Reversibility | Fully reversible | Irreversible |
| Impact on natural tooth | Preserves structure | Requires permanent alteration |
| Sensitivity risk | Low | Mild to moderate (temporary) |
Long-term effects
Bonding, being less invasive, preserves tooth integrity and is easily repairable if damage occurs. However, because composite resin is softer, it can wear faster and require occasional maintenance.
Veneers, on the other hand, act as a protective shield for the underlying tooth. Properly placed veneers do not weaken the tooth but may cause temporary sensitivity after enamel removal.
How to choose between dental bonding and veneers?
Choosing between bonding and veneers ultimately depends on goals, budget, and long-term expectations. Both treatments are safe, effective, and capable of transforming smiles when performed by experienced professionals.
Summary comparison
| Aspect | Dental Bonding | Veneers |
|---|---|---|
| Procedure time | 1 visit | 2–3 visits |
| Durability | 4–8 years | 10–20 years |
| Cost (CAD) | $200–$600 per tooth | $900–$2,500 per tooth |
| Reversibility | Yes | No |
| Aesthetic precision | Good | Excellent |
| Maintenance | Occasional touch-ups | Minimal |
Decision-making tips
- Set your priorities: If longevity and uniformity matter most, veneers may be the better investment.
- Consider future plans: Bonding can serve as a temporary step before transitioning to veneers.
- Discuss with your dentist: A professional assessment ensures your enamel, gums, and bite are suitable for either option.
- Think maintenance: Bonding may require more touch-ups, while veneers last longer with minimal upkeep.
Sources used
- Journal of Conservative Dentistry, 2023
- Journal of Esthetic and Restorative Dentistry, 2022
- International Journal of Cosmetic Dentistry, 2022
- Canadian Dental Review, 2023
Final Word: Whether you choose bonding or veneers, your smile can be transformed safely and beautifully with professional guidance. Visit All On Four Dental Implants to schedule a consultation with Dr. Amir Guorgui and Dr. Rob Eisen, and discover which treatment fits your lifestyle and vision for your perfect smile.
FAQ: Dental Bonding vs Veneers
Which lasts longer — bonding or veneers?
Veneers typically last 10–20 years, while dental bonding lasts 4–8 years on average. Porcelain veneers are more resistant to staining and wear.
Can dental bonding be removed or reversed?
Yes. Bonding is fully reversible because it requires minimal alteration of the natural tooth structure.
Are veneers bad for your teeth?
No, veneers are safe when placed correctly. They require minimal enamel removal, which does not harm the underlying tooth. Proper bonding techniques ensure long-term protection.
How much more expensive are veneers than bonding?
Veneers cost approximately $900–$2,500 per tooth, while bonding ranges from $200–$600 per tooth. Veneers last longer and need fewer touch-ups over time.
Which looks more natural — bonding or veneers?
Veneers generally provide a more lifelike appearance due to their porcelain composition, which mimics the translucency of real enamel.
Who is a better candidate for dental bonding?
Bonding suits patients with small chips, minor discolouration, or small gaps between teeth. It’s ideal for quick cosmetic improvements or reversible results.
Do either treatment cause tooth sensitivity?
Temporary sensitivity may occur, especially with veneers, due to enamel removal, but it usually resolves within a few days.
